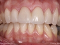
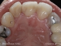
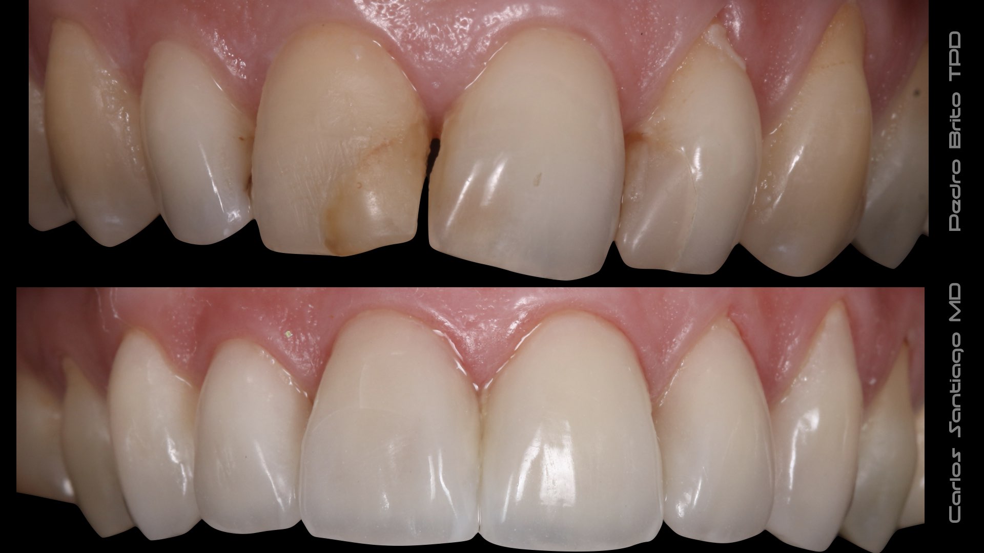
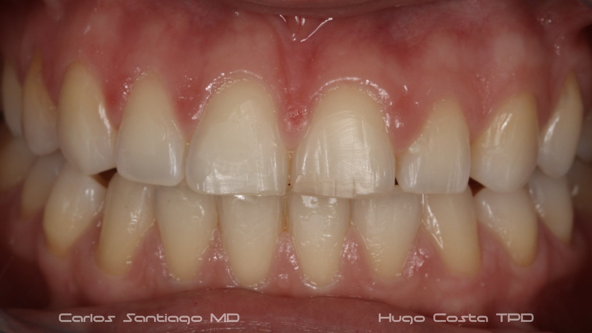
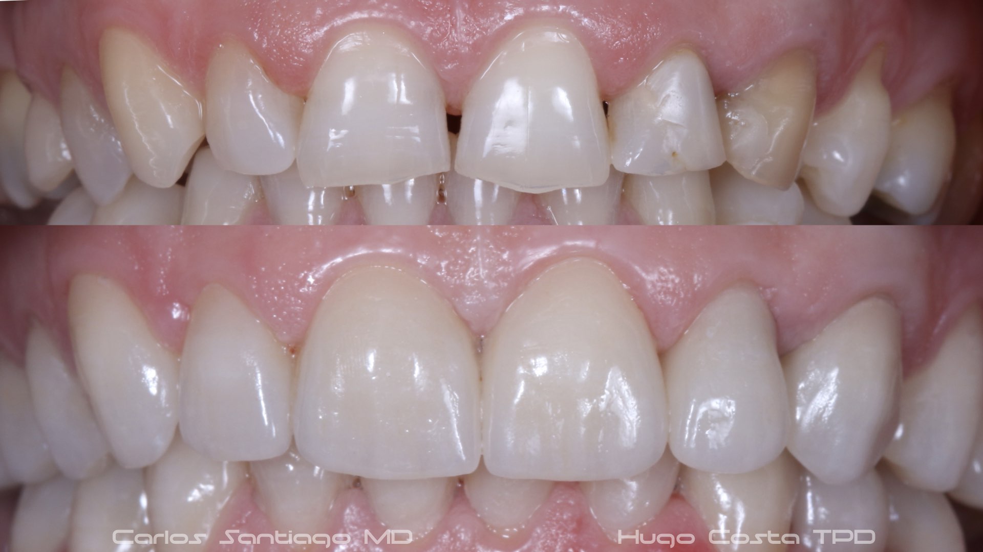
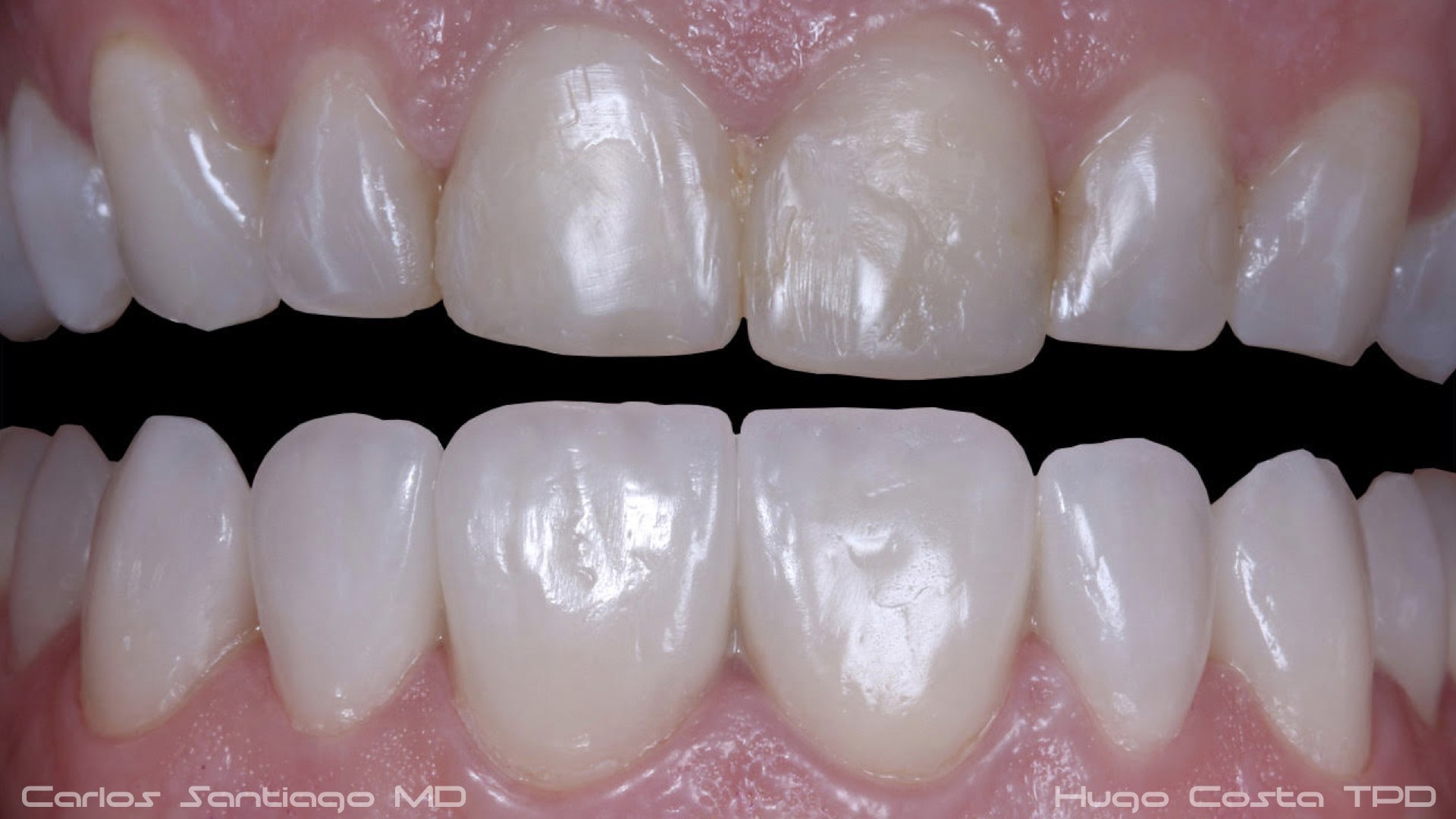
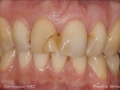
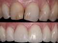
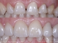
Facetas Cerâmicas / Lentes

“Eu admiro demais os detalhes. O detalhe de um sorriso tímido, da forma como os olhos se movem. Tudo revela algo” Bob Marley

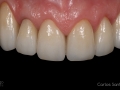
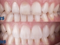
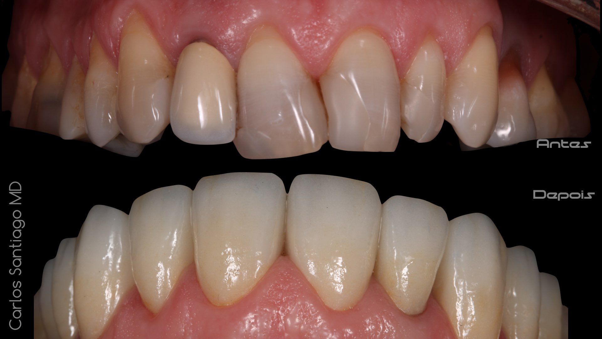
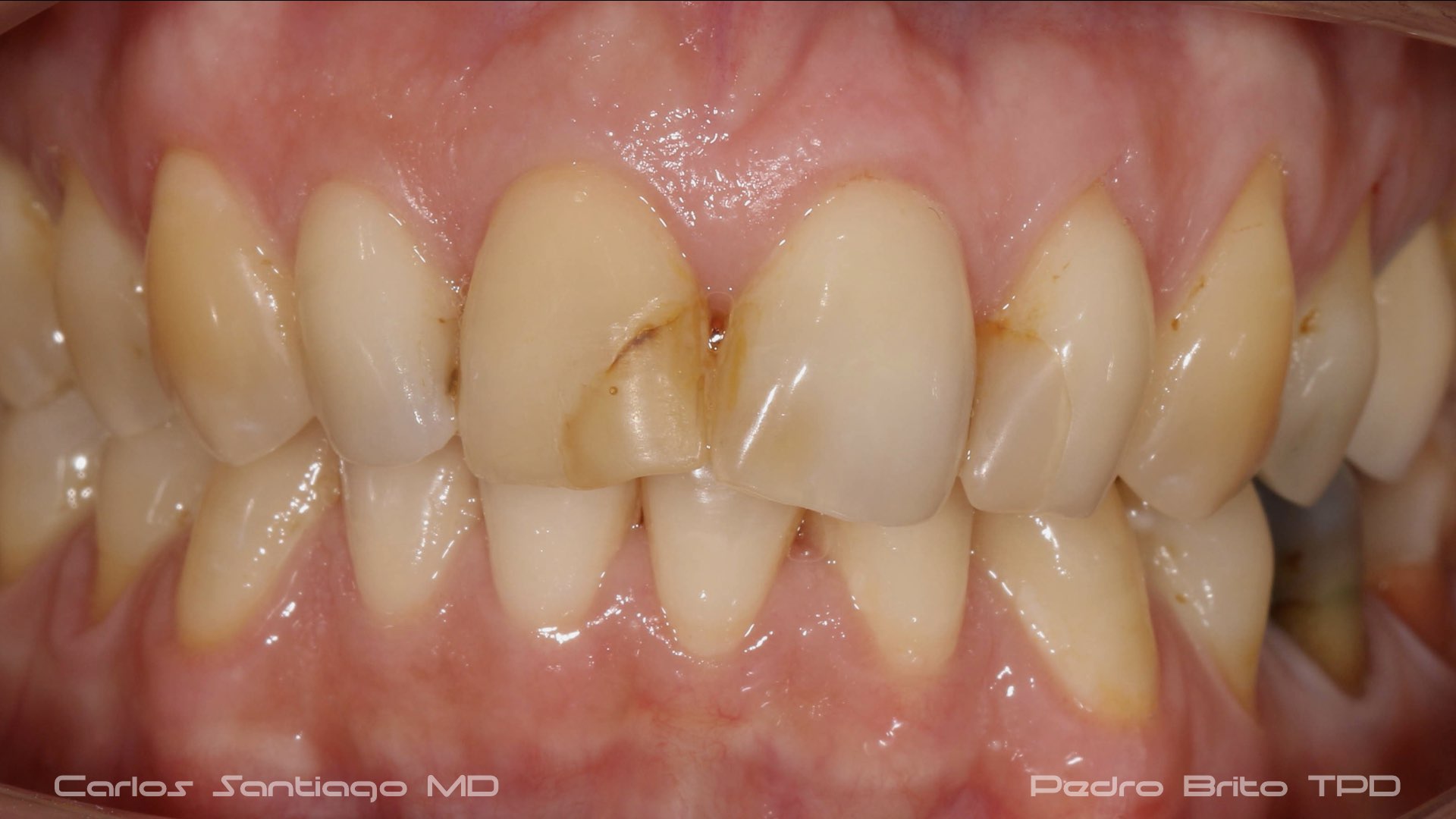
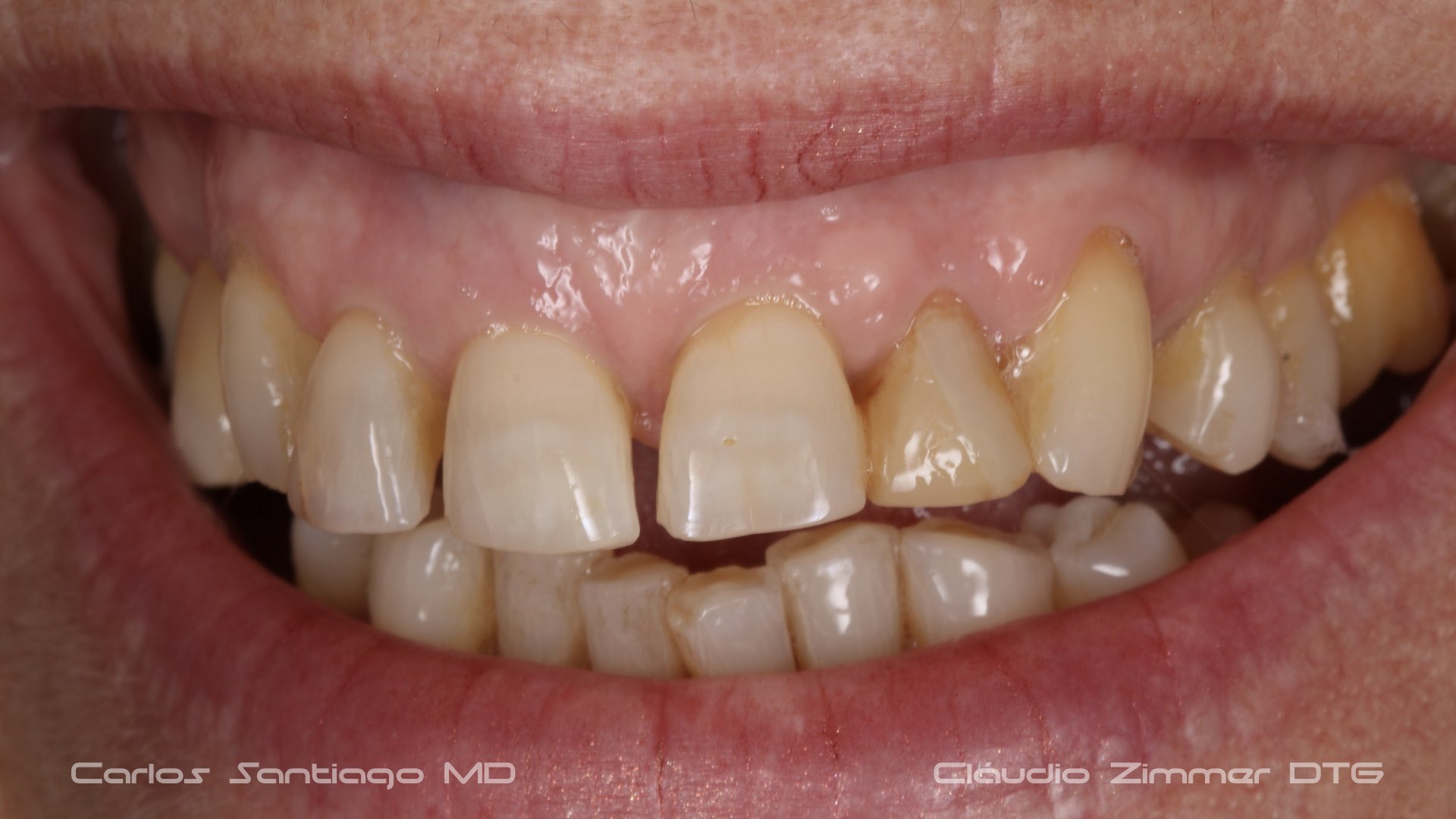
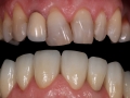
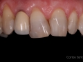
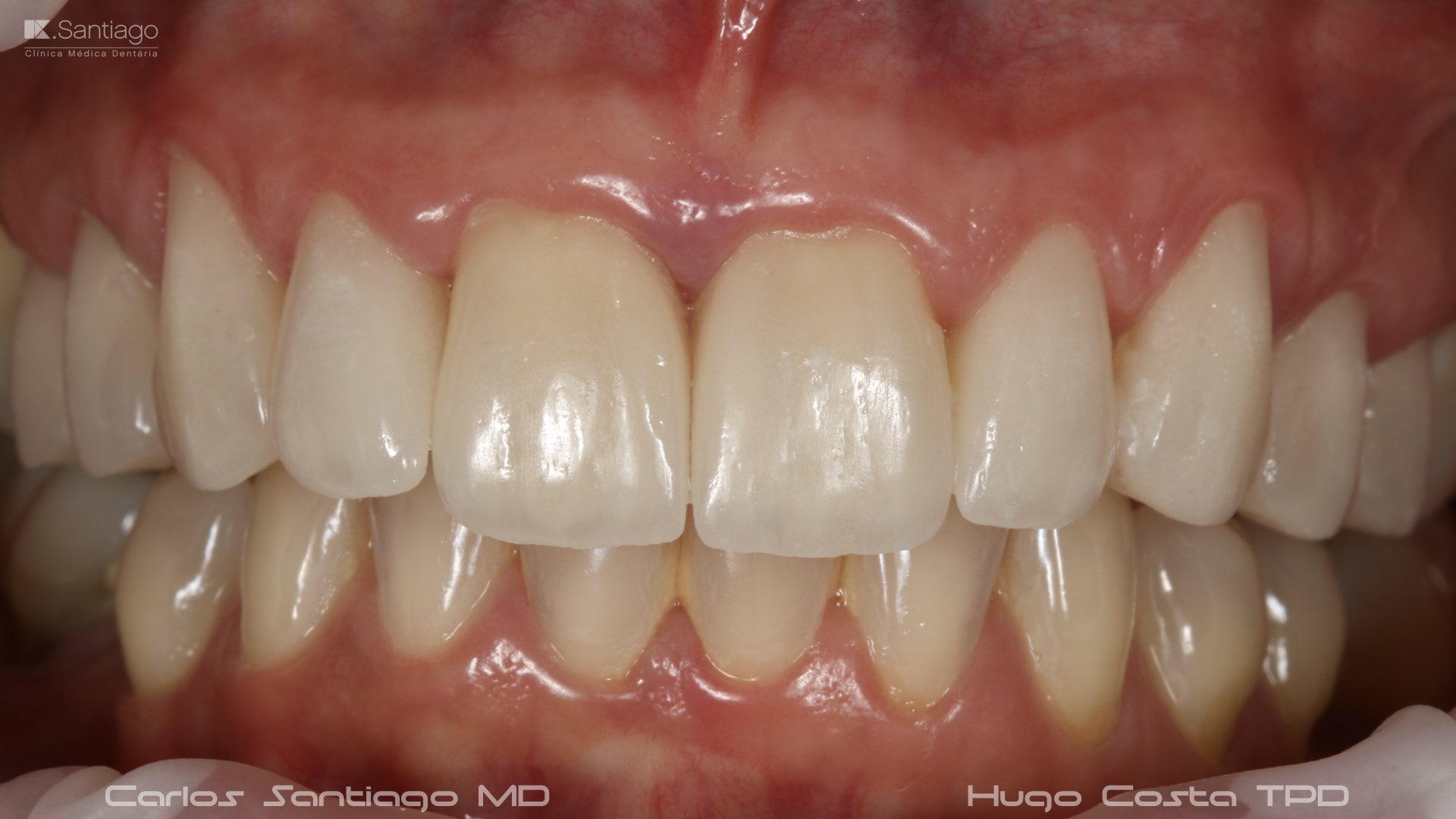
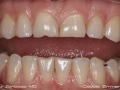
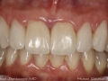
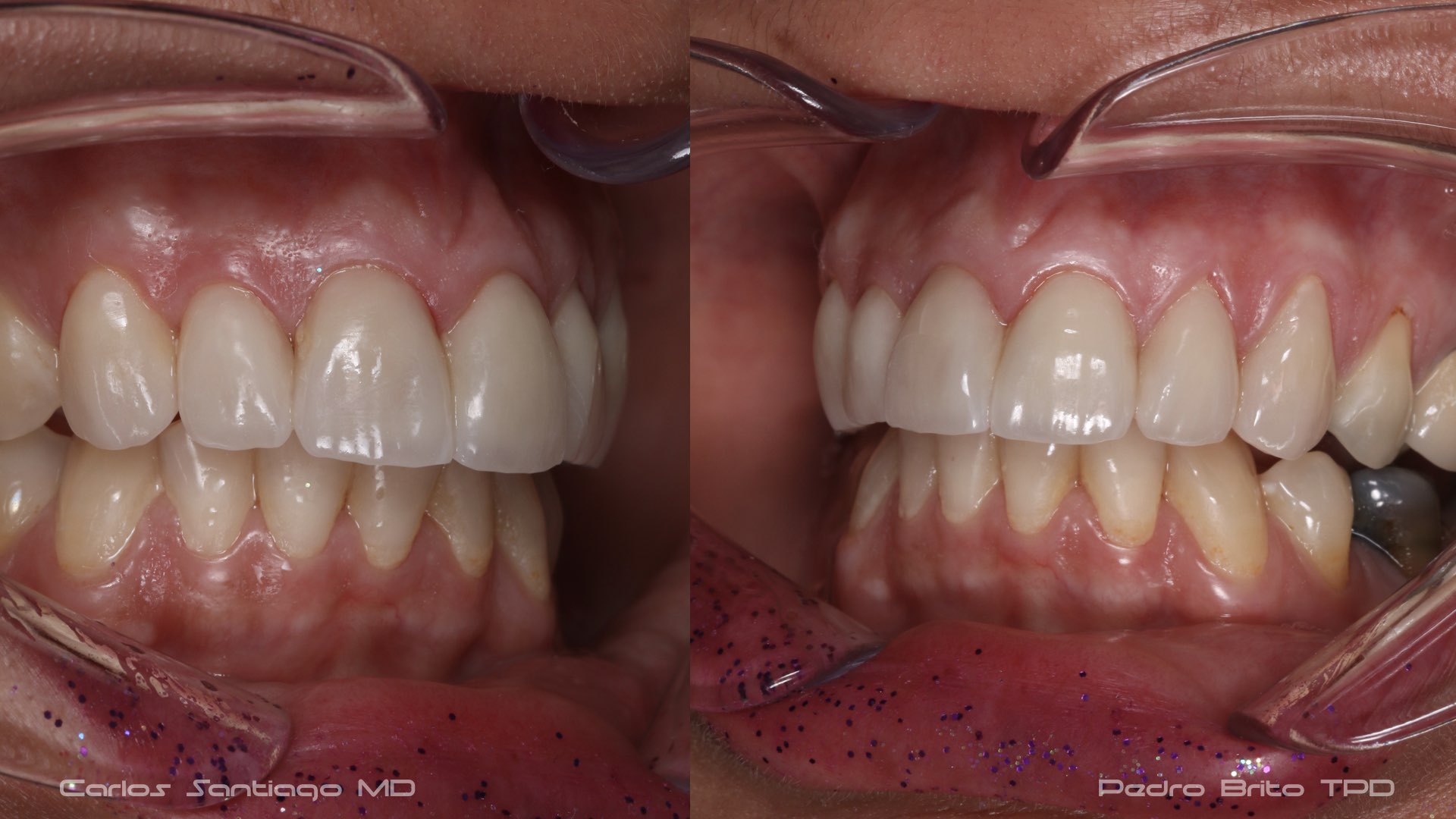
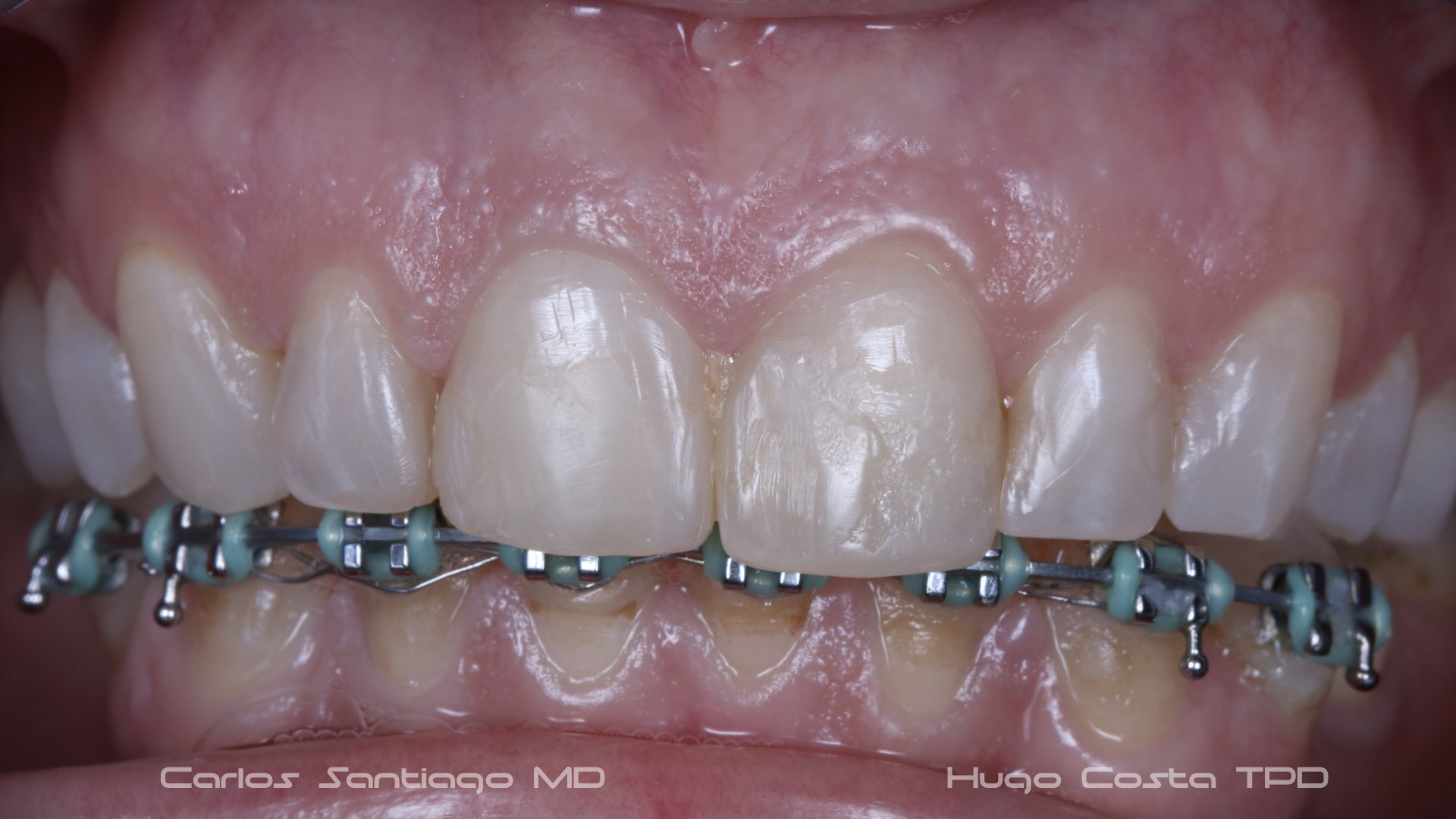
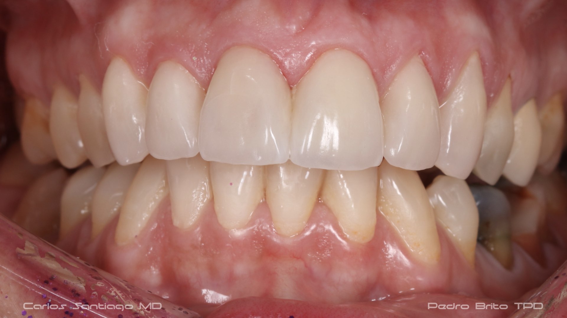
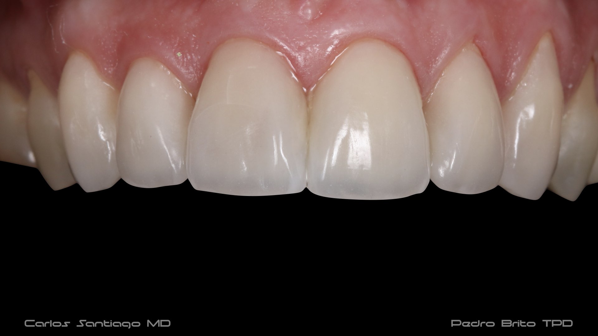
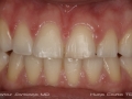
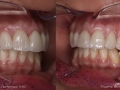
As Facetas Cerâmicas (lentes de contacto dentárias ou laminados), permitem corrigir da maneira mais estética e conservadora possível, problemas de forma e tamanho, côr e posição dos dentes, bem como substituir restaurações antigas e inestéticas. 

São aderidas químicamente ao esmalte dentário de uma forma permanente, com o objectivo de melhorar a estética dos nossos pacientes.