Implantologia / Cirurgia

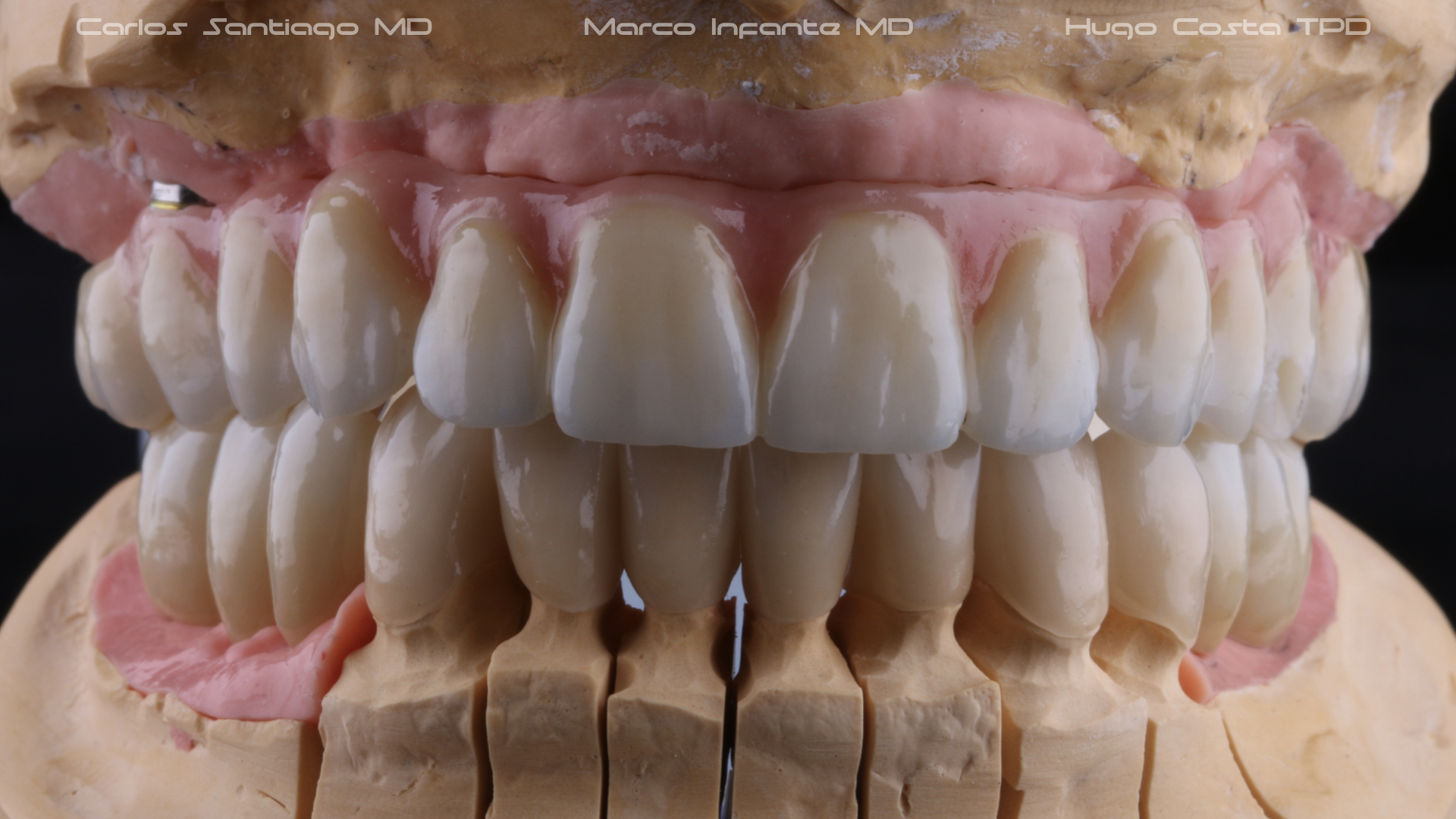
Dr. Carlos Santiago | Reabilitação Oral
Dr. Marco Infante |Cirurgia / Implantologia

Implantologia

“Tudo o que um sonho precisa para ser realizado é alguém que acredite que ele possa ser realizado.” Roberto Shinyashiki

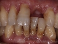
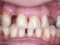
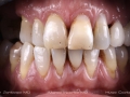
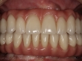
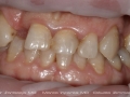
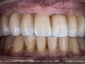
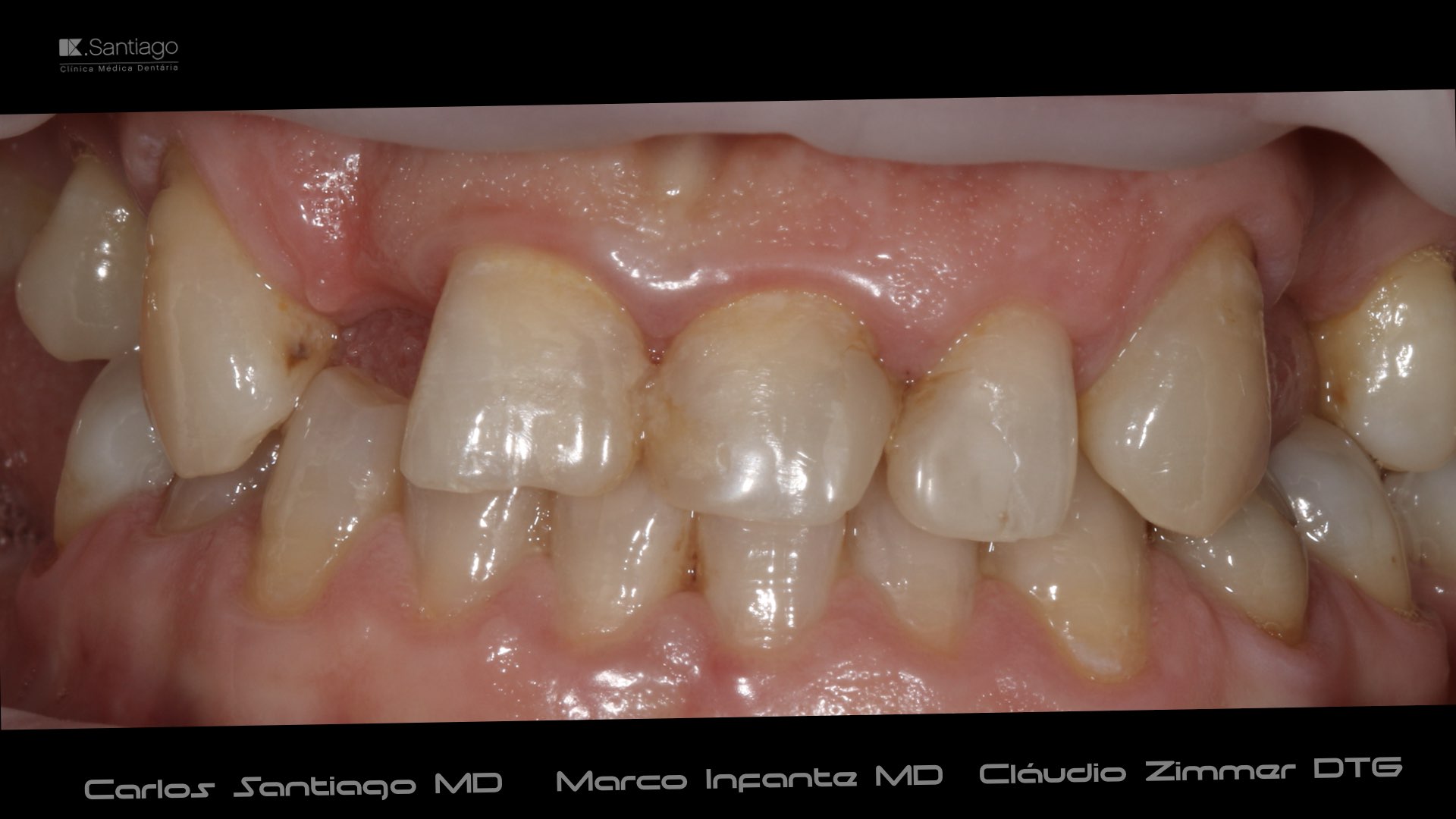
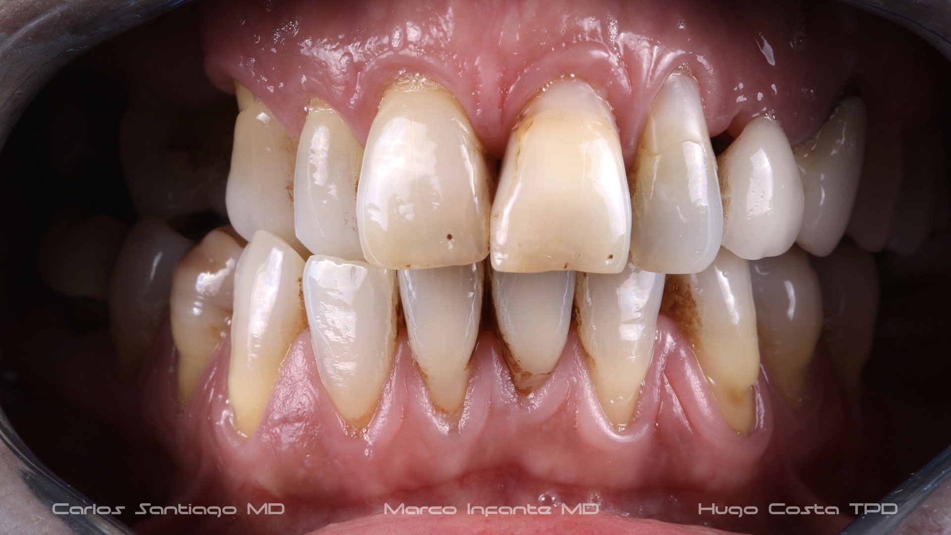
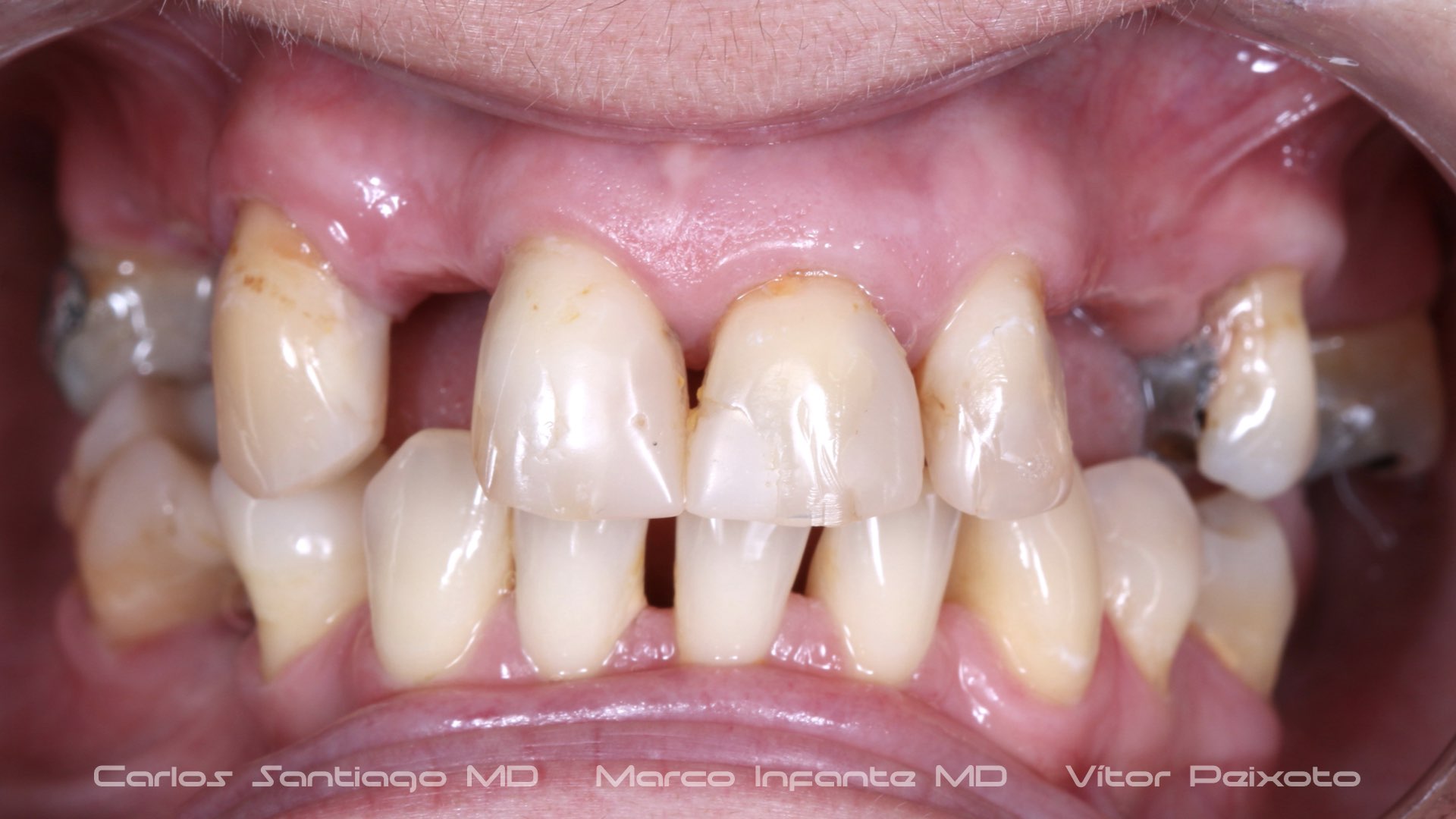
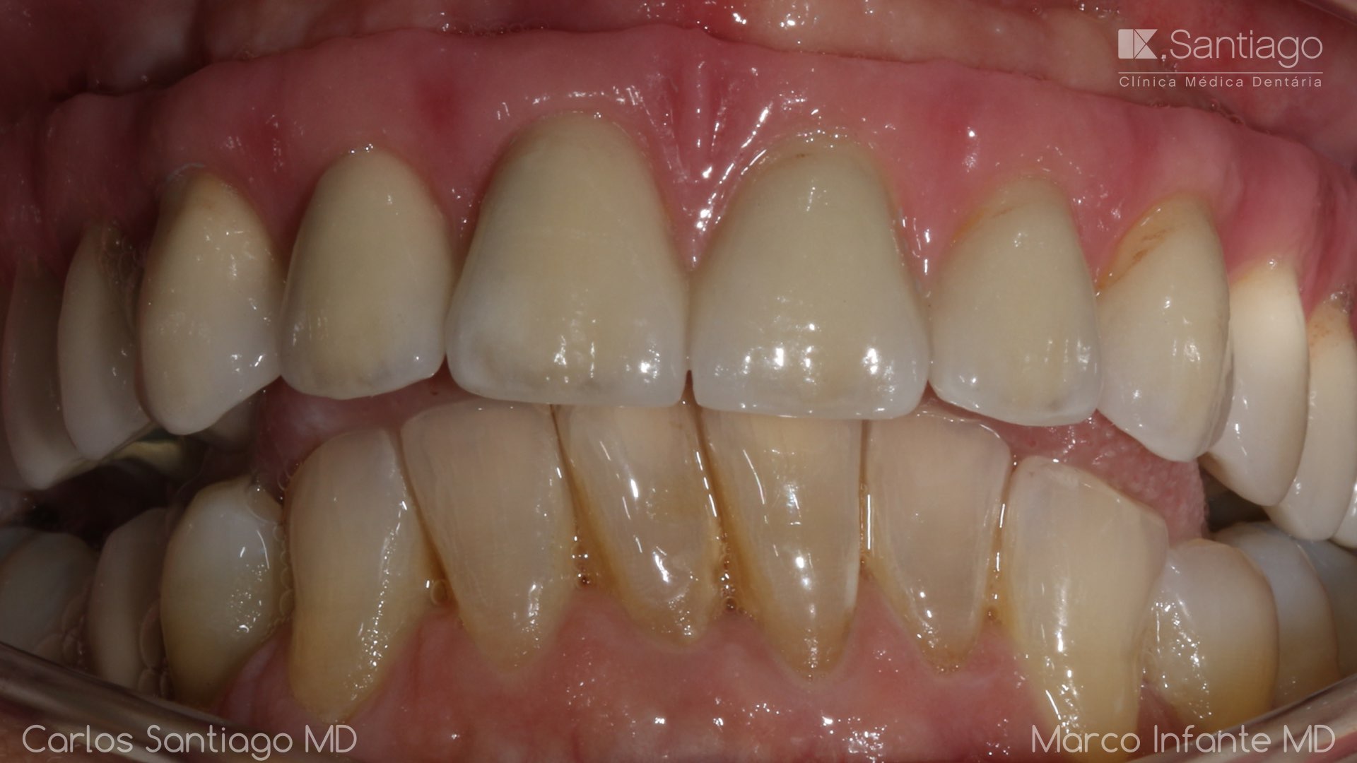
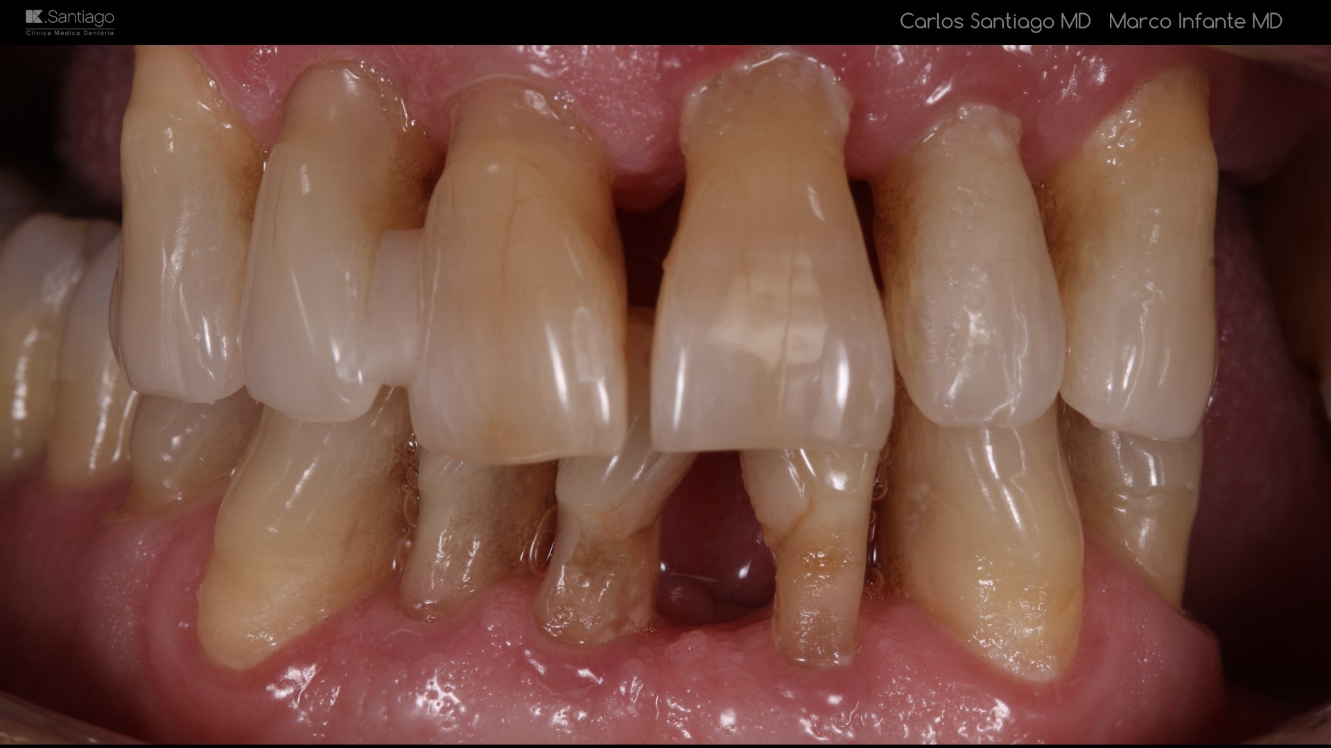
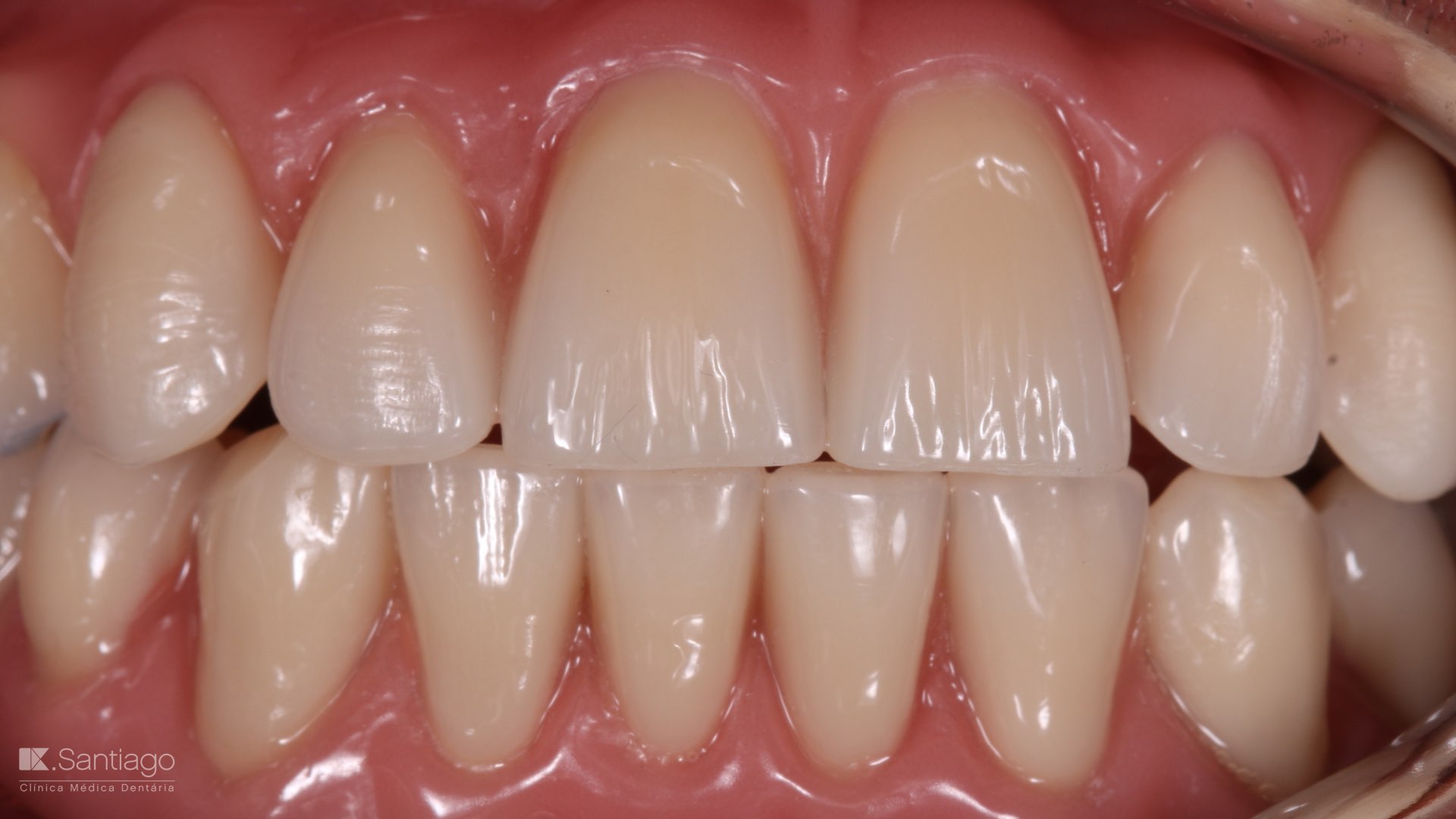
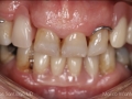
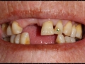
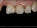
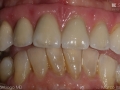
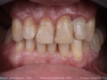
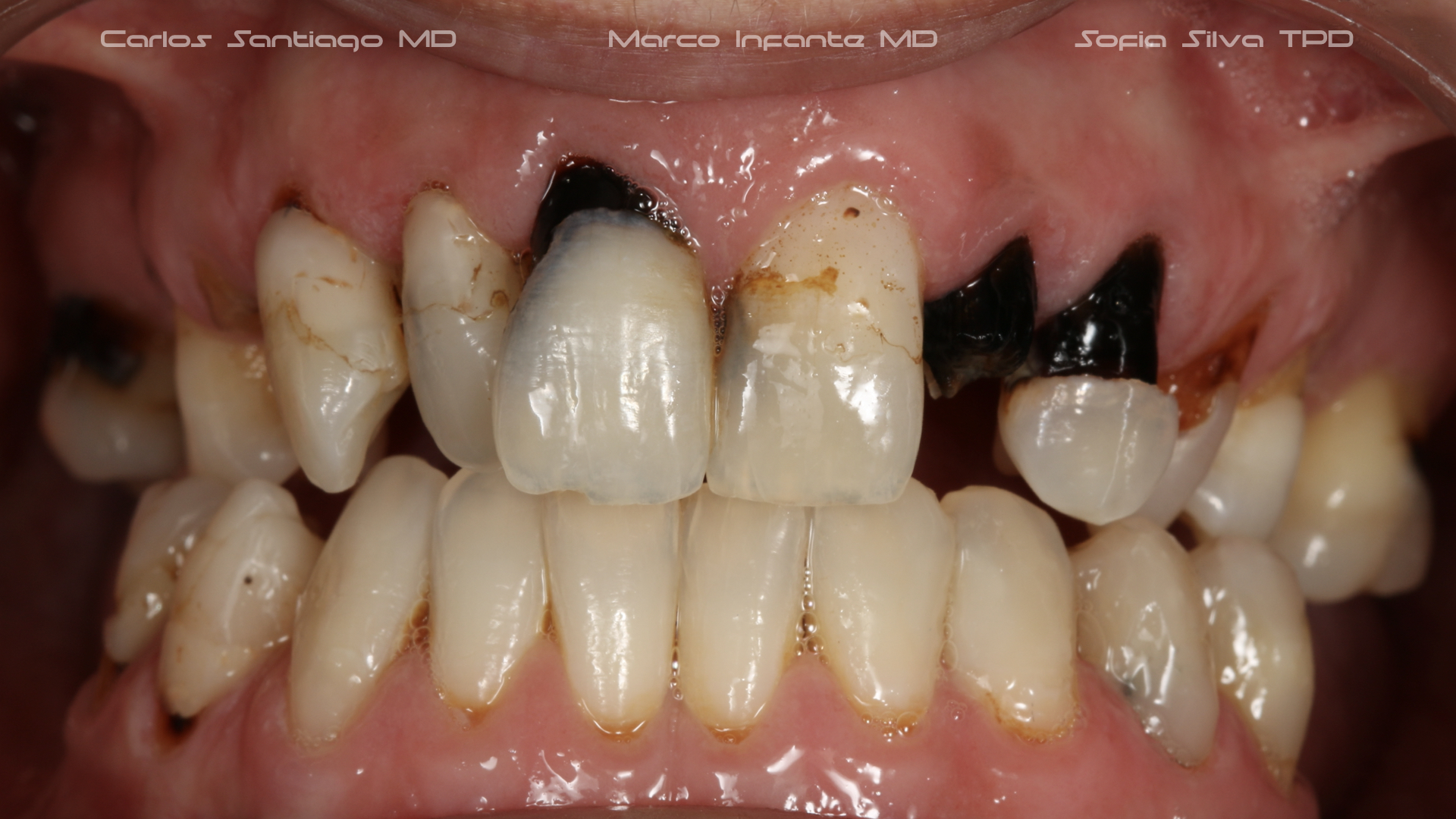
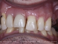
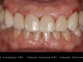
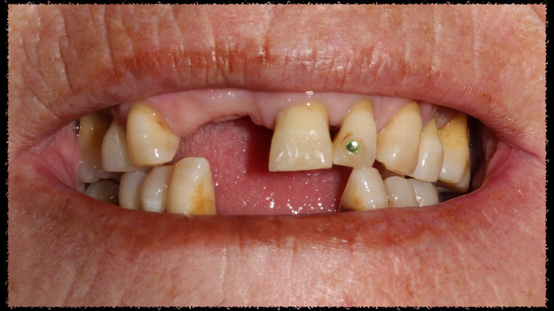
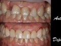
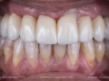
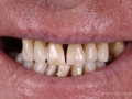
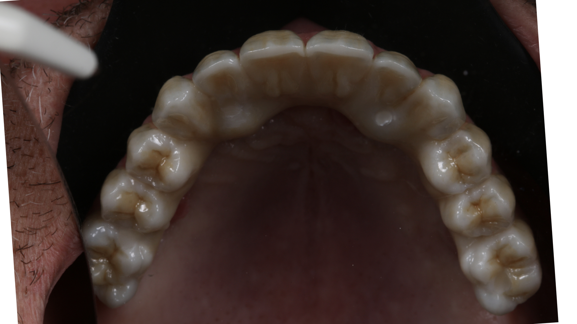
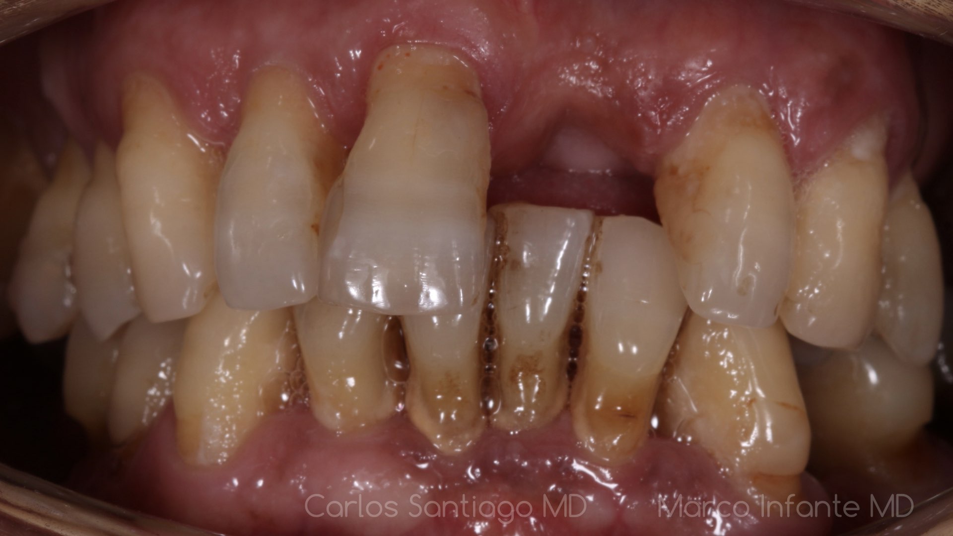
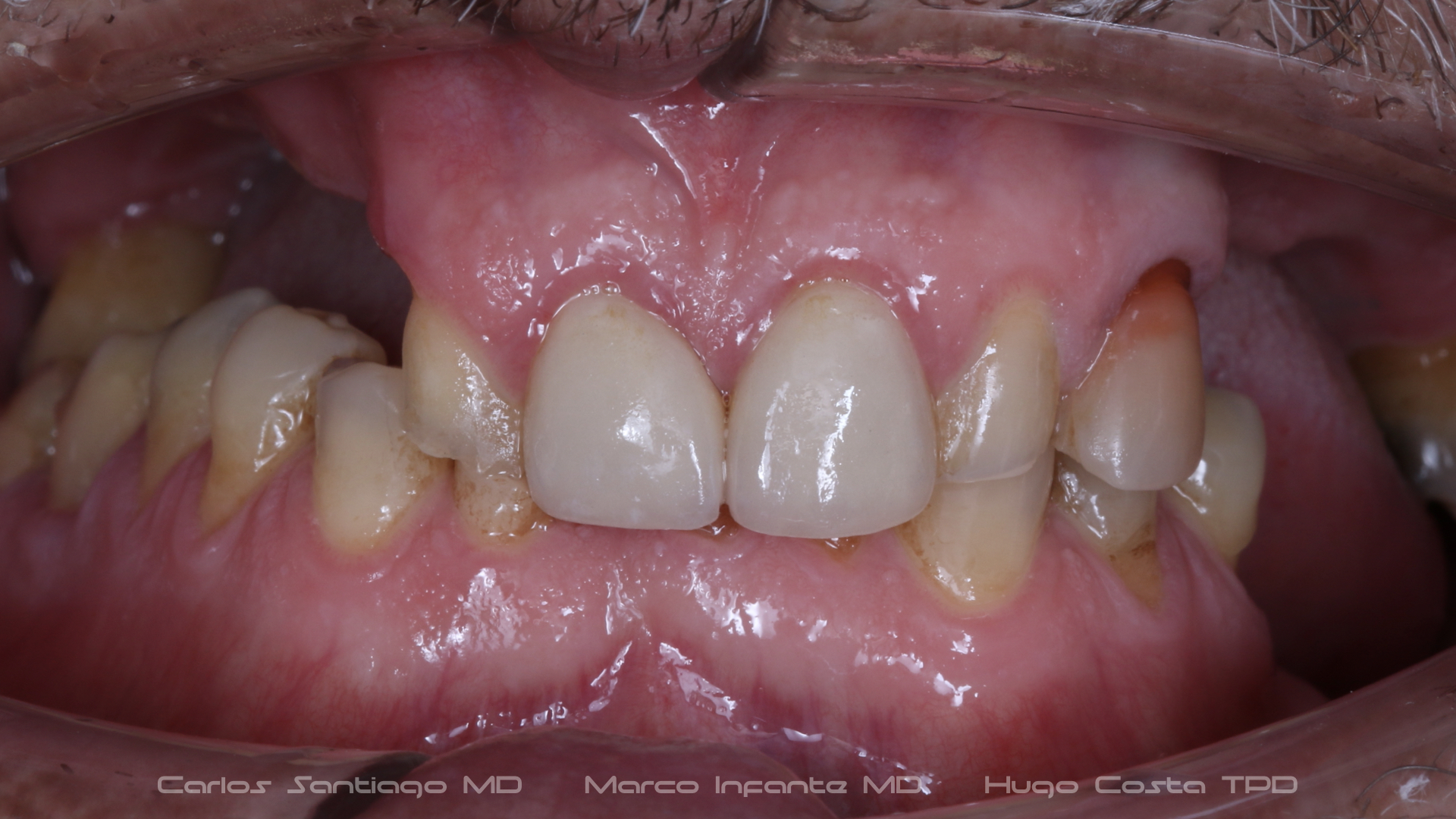
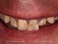
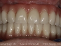
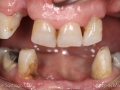
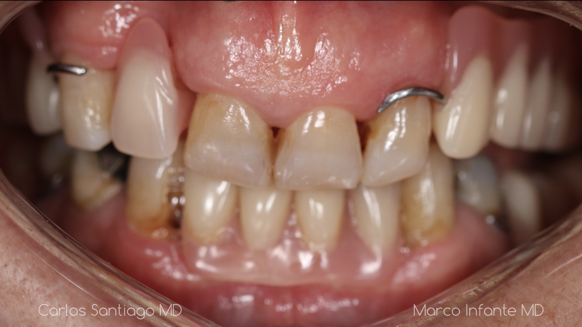
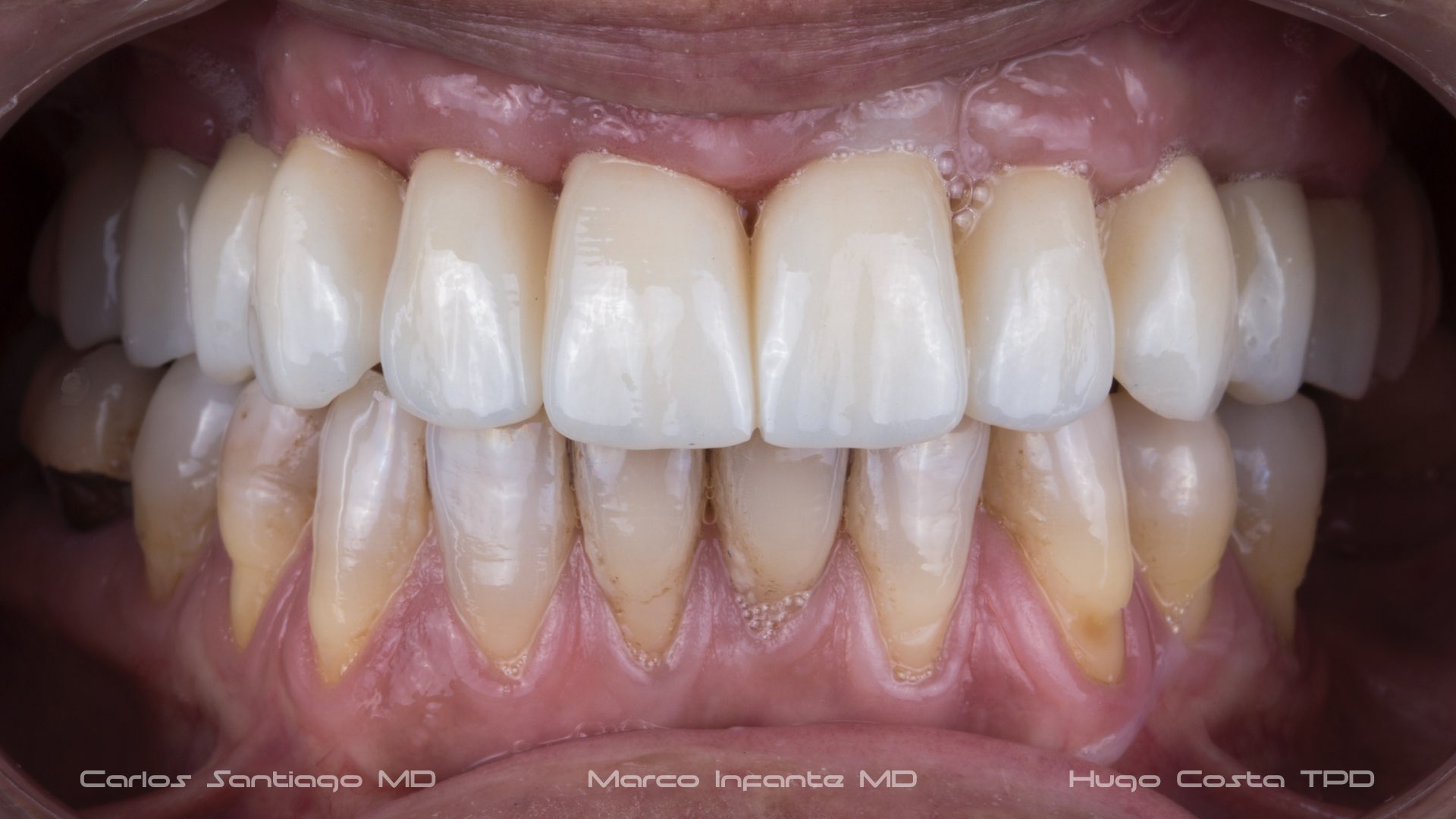
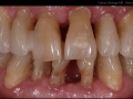
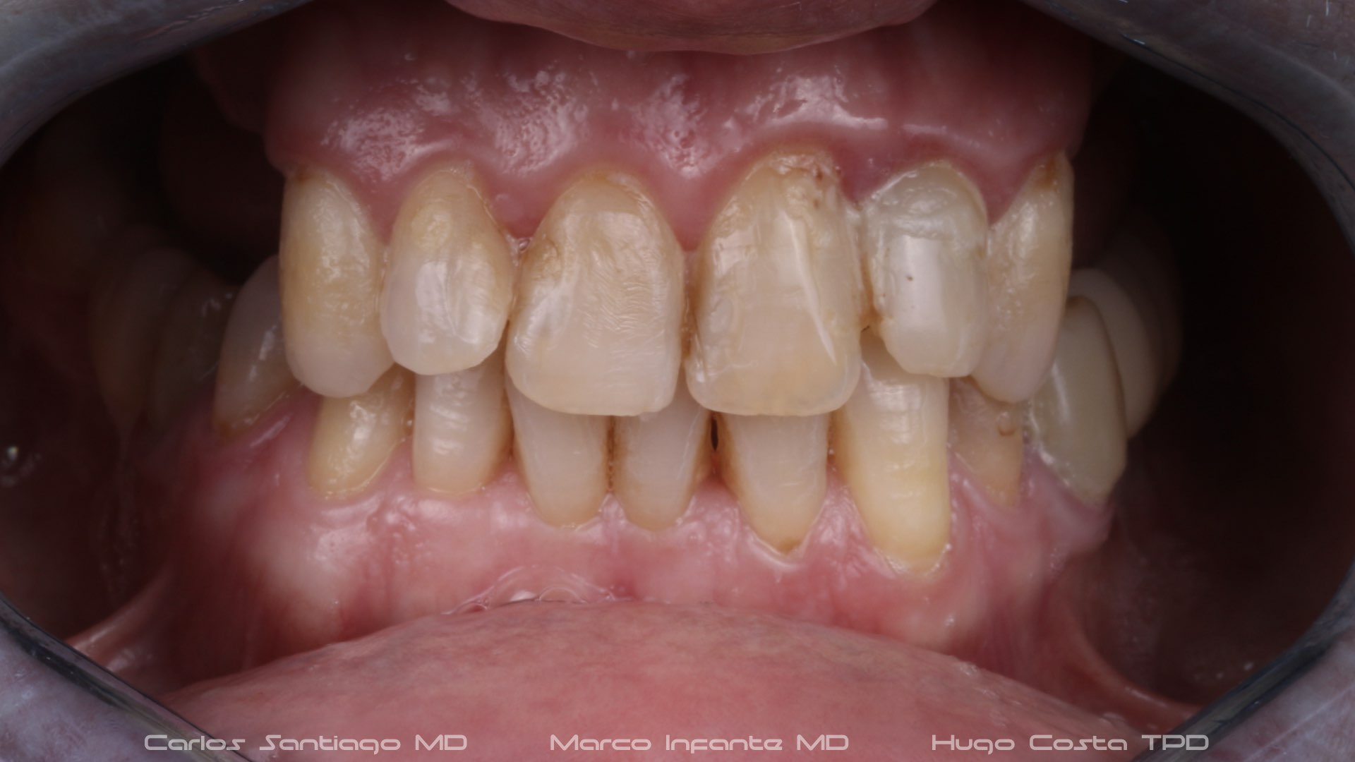
Implantologia é uma área cirúrgica da Medicina Dentária que se dedica à colocação de implantes dentários. Com a utilização de implantes dentários o doente deixa de ter de optar por soluções tão desconfortáveis e inestéticas como as próteses removíveis suportadas apenas pela mucosa, voltando a sentir o conforto que os dentes naturais oferecem. O implante dentário não tem contra indicações e é possível ser colocado em pessoas que perderam um ou todos os seus dentes.

Vantagens da colocação de implantes dentários:

  • Manutenção da estrutura óssea e estética facial
  • Capacidade mastigatória sem a preocupação inerente ao facto de não ter dentes naturais
  • Manutenção e integridade dos dentes vizinhos
  • Proporcionar ao paciente uma melhor auto-estima, sem qualquer inibição social

Cirurgia

“Pouca coisa é necessária para transformar inteiramente uma vida: amor no coração e sorriso nos lábios.” Martin Luther King

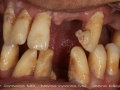
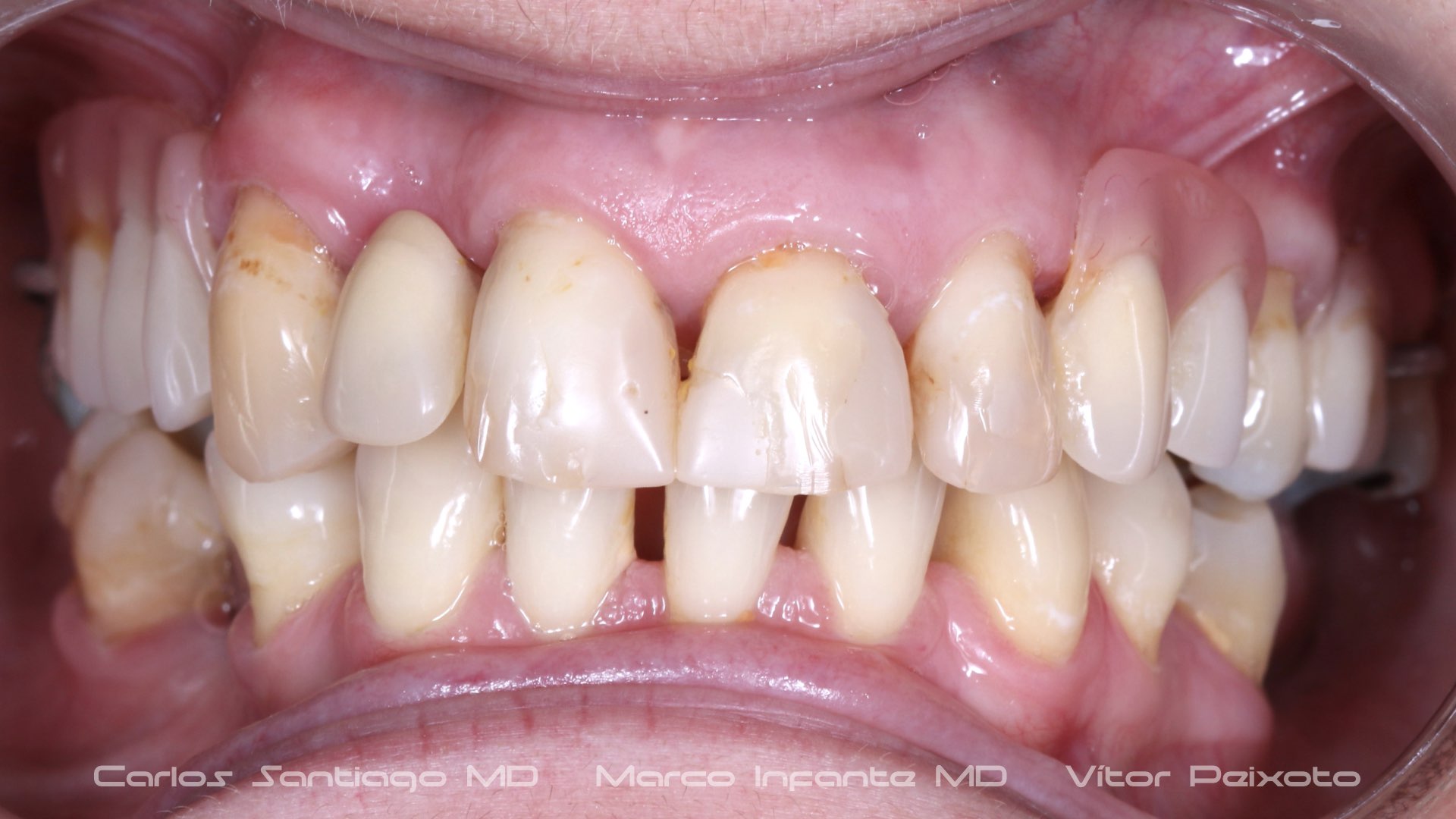
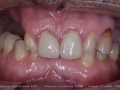
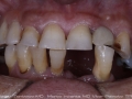
Uma das áreas mais abrangentes da Medicina Dentária é a Cirurgia Oral. É a especialidade da Medicina Dentária responsável pelo diagnostico e tratamento cirurgico de patologias na cavidade oral.

Esta especialidade inclui um vasto leque de tratamentos, desde a corrente extracção de dentes até às intervenções sobre os tecidos moles e duros.

Alguns tratamentos:

  • Extração de dentes com destruição extensa ou sem suporte periodontal
  • Extração de dentes inclusos
  • Extração de supranumerários
  • Apicectomia
  • Cirurgia Periodontal